Puzzling 'disappearance bone condition' stumps medical experts with unknown origins
Unraveling the Mystery of 'Vanishing Bone Disease': Medical Experts Struggle to Solve the Enigmatic Origins of Gorham-Stout Syndrome.
A 28-year-old woman refused to ignore the dull ache in her shoulder, even when it turned into swelling and a weird kind of “weak spot” that never seemed to heal. What started as a nagging discomfort quickly became a nightmare of fractures from tiny bumps, the kind of injuries that should not change your life overnight.
Her case is tied to a rare bone condition called Gorham-Stout Syndrome, a disorder where healthy bone gets gradually replaced by abnormal fibrous and lymphatic tissue. The complication is that the mystery does not come with a neat pattern, it can show up in infants and older adults too, though it most often hits people under 40, and researchers have not found consistent links to gender, ethnicity, environmental exposures, or infections.
And once the body starts swapping bone for soft tissue, the “why” stays stubbornly out of reach.

Unraveling the Mystery of Gorham-Stout Syndrome
Exploring the depths of Gorham-Stout Syndrome, medical professionals are faced with the enigma of skeletal structures vanishing inexplicably. The rarity of this condition means that most healthcare providers may go their entire careers without encountering a case, highlighting the elusive nature of this perplexing disorder.
The 28-year-old woman’s shoulder pain kept escalating, and that is when the vanishing-bone part of Gorham-Stout Syndrome stopped being theoretical.
The syndrome is characterized by a progressive loss of bone density, where healthy bone is gradually replaced by abnormal fibrous and lymphatic tissues.
One of the most unsettling aspects of Gorham-Stout Syndrome is its unpredictable nature. The condition can manifest in individuals of various ages, from infants to those in their seventies, although it predominantly affects younger adults, particularly those under the age of 40.
Researchers have attempted to identify potential risk factors associated with GSS but have found no consistent correlations with gender, ethnicity, environmental exposures, or infections.
This lack of identifiable links further deepens the mystery surrounding the syndrome's origins and underscores the need for more comprehensive research to unravel its complexities. At a biological level, Gorham-Stout Syndrome involves the abnormal proliferation of thin-walled blood or lymphatic vessels within the bone.
This abnormal growth triggers the release of various substances, including interleukin-6, which overstimulates the osteoclasts—cells responsible for bone resorption. As a result, the body erroneously replaces solid bone with soft tissue, leading to significant weakening, deformity, or even complete loss of the affected bone.
The symptoms associated with GSS can vary widely depending on which bones are impacted. Many patients report experiencing swelling, chronic pain, and a significant reduction in mobility.

Her swelling and chronic pain were not random, they matched the way this condition replaces solid bone with abnormal fibrous and lymphatic tissue.
For more spotlight drama, see Jamie Foxx confronting a Tourette’s advocate who shouted a racial slur at Michael B. Jordan and Delroy Lindo.
The fragility of the bones means that even minor injuries can lead to fractures, which can be particularly devastating. In severe cases, patients may experience noticeable shortening or deformity of limbs, which can severely hinder their ability to walk and perform daily activities.
When the spine or skull is affected by Gorham-Stout Syndrome, the consequences can be even more severe. Some patients have developed neurological complications, including paraplegia, cerebrospinal fluid leaks that result in debilitating headaches and nausea, or sensory impairments such as hearing and vision loss.
Effects of Jawbone Deterioration on Quality of Life
Additionally, the deterioration of the jawbone can lead to loose teeth and significant facial changes, further impacting the patient’s quality of life. The condition can also extend its effects to the chest area, where the leakage of lymphatic fluid may result in breathing difficulties or potentially life-threatening fluid accumulation around the lungs or heart.
These complications illustrate the systemic nature of GSS, highlighting how it can affect multiple body systems and lead to a cascade of health issues. Diagnosing Gorham-Stout Syndrome is notoriously challenging.
Even minor injuries that should have been no big deal led to fractures, which is exactly how the bone loss turns terrifying in real life.
The symptoms often mimic those of infections, cancers, or other bone diseases, which can lead to lengthy delays in obtaining an accurate diagnosis. Patients may undergo a series of tests and evaluations before a definitive diagnosis is made, which can be frustrating and distressing for those affected.
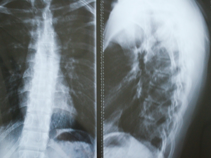
Doctors typically rely on advanced imaging techniques, such as X-rays, MRIs, or CT scans, to monitor bone loss and assess the extent of the disease. A definitive diagnosis is usually confirmed through a bone biopsy, which reveals non-cancerous vascular tissue replacing the bone.
This process can be invasive and may carry its own risks, further complicating the management of the condition. Unfortunately, there is currently no known cure for Gorham-Stout Syndrome.
Treatment strategies primarily focus on managing symptoms and preventing complications. This may involve pain management techniques, physical therapy to maintain mobility, and surgical interventions in cases where structural support is necessary.
In some instances, medications that inhibit bone resorption may be prescribed to help slow the progression of the disease, although their effectiveness can vary from patient to patient. The rarity of Gorham-Stout Syndrome means that many healthcare providers may not be familiar with the condition, which can lead to misdiagnosis or inadequate treatment.
Advocacy for increased awareness and education about GSS is crucial, as it can empower patients and healthcare professionals alike to recognize the signs and symptoms early on. Moreover, ongoing research is essential to uncover the underlying mechanisms of Gorham-Stout Syndrome.
And because no one can pin down a consistent cause from gender, ethnicity, exposures, or infections, her story becomes another unanswered piece of the puzzle.
Advancing Targeted Therapies Through Collaborative Research Efforts
Understanding the biological processes involved could lead to the development of targeted therapies that address the root causes of the condition rather than merely alleviating symptoms. Collaborative efforts among researchers, clinicians, and patient advocacy groups can foster a more comprehensive approach to tackling this enigmatic disorder.
In summary, Gorham-Stout Syndrome, or vanishing bone disease, presents a complex and multifaceted challenge for both patients and the medical community. Its unpredictable nature, coupled with the lack of identifiable risk factors and effective treatments, underscores the urgent need for further research and awareness.
Unraveling Gorham-Stout Syndrome: Advancements and Implications
As doctors continue to investigate this rare condition, the hope is that advancements in understanding and treatment will emerge, ultimately improving the lives of those affected by this debilitating disease. The implications of Gorham-Stout Syndrome extend beyond the individual patient, as it raises broader questions about the nature of bone health, the immune system's role in bone metabolism, and the potential for new therapeutic approaches in treating rare diseases.
As the medical community continues to explore these avenues, the hope remains that one day, effective strategies will be developed to combat this perplexing condition and provide relief for those who suffer from it. In conclusion, while Gorham-Stout Syndrome remains a largely misunderstood and under-researched condition, the ongoing efforts of medical professionals and researchers hold promise for the future.
Advancing Understanding of Rare Diseases
By fostering a greater understanding of this rare disease, we can work towards improving diagnosis, treatment, and ultimately, the quality of life for individuals affected by this challenging disorder.
By the time the fractures pile up, she is left wondering what, if anything, could have prevented her bone from disappearing.
Stunned by medical mysteries too? Read about the woman who shared a sociopath key phrase.